Clinic Time
Monday - Saturday : 10.00AM - 9.00PM

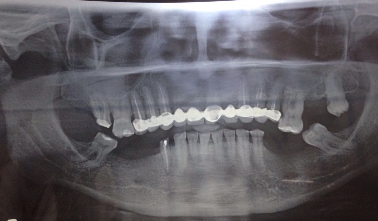
Case Studies

Below are some of our recent & past Case Studies.

Full Mouth Case

Featured Case Studies